Người bệnh L.T.T.D., 63 tuổi, ở phường Việt Trì, tỉnh Phú Thọ vào viện với triệu chứng nôn ra máu đỏ tươi và đi ngoài phân đen, kèm bụng chướng dịch mức độ nhiều gây tụt huyết áp do mất máu nhiều…
Người bệnh có tiền sử xơ gan nhiều năm, từng nhiều lần nôn ra máu, đã điều trị tại nhiều cơ sở y tế khác nhau. Trước đó, người bệnh đã được nội soi thắt các búi giãn tĩnh mạch thực quản nhiều lần. Trong đợt này, người bệnh nhập viện tại Bệnh viện Đa khoa tỉnh Phú Thọ với các triệu chứng tái phát tương tự và được chỉ định nội soi thắt vòng cao su các búi giãn tĩnh mạch thực quản. Tuy nhiên, do tình trạng giãn tĩnh mạch thực quản nhiều và kích thước lớn nên người bệnh được đánh giá có nguy cơ chảy máu tái phát rất cao. Cùng với đó, người bệnh có tình trạng chướng bụng nhiều do dịch tự do trong ổ bụng.

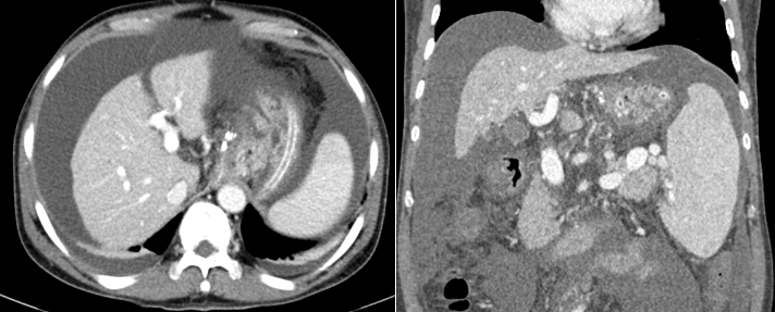
Hình ảnh xơ gan và dịch ổ bụng mức độ nhiều trên phim chụp cắt lớp vi tính của người bệnh
Sau khi được điều trị tích cực ban đầu, người bệnh được các bác sĩ chuyên khoa Điện quang can thiệp hội chẩn và thăm khám, xác định tình trạng bệnh có thể diễn biến tái phát chảy máu bất cứ lúc nào và có thể đe dọa tính mạng. Người bệnh đã được Tiến sĩ, bác sĩ Trần Quang Lục, Giám đốc Trung tâm Chẩn đoán hình ảnh và Điện quang can thiệp – chuyên gia hàng đầu về thực hiện các kỹ thuật can thiệp điều trị các biến chứng của xơ gan – tư vấn thực hiện kỹ thuật TIPS (can thiệp tạo luồng thông cửa chủ trong gan) kết hợp với can thiệp nút các búi giãn tĩnh mạch thực quản để dự phòng chảy máu tái phát.

Tiến sĩ Trần Quang Lục cùng ekip thực hiện kỹ thuật TIPS can thiệp cho người bệnh L.T.T.D
Ekip của Tiến sĩ Trần Quang Lục đã can thiệp cho người bệnh bằng kỹ thuật TIPS với sự hỗ trợ của hệ thống máy chụp mạch số hóa xóa nền DSA và các trang thiết bị hiện đại. Toàn bộ quy trình kỹ thuật được thực hiện trong lòng mạch máu với một vết chọc rất nhỏ tạo đường vào ở tĩnh mạch cổ. Sau khoảng 1 giờ can thiệp, các bác sĩ đã đặt một stent phủ vào trong gan, làm giảm áp lực tĩnh mạch cửa và nút tắc hoàn toàn các búi giãn tĩnh mạch thực quản. Sau 2 ngày theo dõi, người bệnh đã hoàn toàn ổn định, đi ngoài phân vàng, tình trạng chướng bụng giảm đáng kể, các xét nghiệm cải thiện tốt và được ra viện điều trị theo phác đồ tại nhà.

Tiến sĩ Trần Quang Lục cùng ekip thực hiện kỹ thuật TIPS với sự hỗ trợ của hệ thống máy chụp mạch số hóa xóa nền DSA và các trang thiết bị hiện đại.
Theo chia sẻ của Tiến sĩ Trần Quang Lục, kỹ thuật TIPS cùng nhiều kỹ thuật khác trong điều trị và dự phòng chảy máu tiêu hóa, điều trị cổ trướng do xơ gan… đã được Bệnh viện Đa khoa tỉnh Phú Thọ triển khai từ năm 2017. Qua thực tiễn điều trị, hàng trăm người bệnh đã được can thiệp thành công, giúp giảm tỷ lệ chảy máu tái phát, giảm số lần đi viện và nâng cao chất lượng cuộc sống. Đặc biệt, nhờ ứng dụng kỹ thuật này, các bác sĩ đã kịp thời cứu sống nhiều trường hợp nguy kịch trong tình trạng sốc mất máu nặng khi mà các biện pháp điều trị nội soi và nội khoa không đạt hiệu quả.

Kỹ thuật TIPS trên một ca bệnh chảy máu do giãn tĩnh mạch dạ dày.

Hình ảnh trước và sau khi đặt stent TIPS trong gan và nút tắc các búi giãn tĩnh mạch thực quản.
Trung tâm Chẩn đoán hình ảnh và Điện quang can thiệp với đội ngũ cán bộ y tế trình độ cao, giàu kinh nghiệm, cùng hệ thống trang thiết bị được đầu tư đồng bộ, hiện đại như: Máy chụp cộng hưởng từ 1.5 Tesla, máy chụp cộng hưởng từ 3.0 Tesla tích hợp trí tuệ nhân tạo AI, máy chụp cắt lớp vi tính 128 dãy, máy chụp mạch số hoá xoá nền DSA, hệ thống các máy chụp X-quang, máy siêu âm can thiệp… giúp phát hiện sớm, chẩn đoán chính xác các bệnh lý thần kinh, đột quỵ, ung bướu, tim mạch… và can thiệp điều trị hiệu quả các bệnh lý như ung thư gan, u máu gan, ung thư đường mật, chảy máu tiêu hóa, chấn thương tạng, dị dạng mạch tạng, u phì đại tiền liệt tuyến, u xơ tử cung, bướu nhân tuyến giáp…
Người bệnh cần được tư vấn vui lòng liên hệ:
Tiến sĩ Trần Quang Lục: 0989 966 337
Hoặc Tổng đài tư vấn khám chữa bệnh (miễn phí cước cuộc gọi): 1800 888 989 để được tư vấn trực tiếp bởi các chuyên gia đầu ngành của Bệnh viện Đa khoa tỉnh Phú Thọ.
Tác giả: TS.BS Trần Quang Lục
Cộng sự: Bùi Lê Phương