Phẫu thuật điều trị gãy xương bằng máy C-arm (màn hình tăng sáng) là phương pháp tiên tiến đã và đang được triển khai tại Bệnh viện Đa khoa tỉnh Phú Thọ. Đây là kỹ thuật xâm lấn tối thiểu, Bác sĩ chỉ cần rạch đường rạch nhỏ trên da, bóc tách mô mềm, nắn chỉnh ổ xương và luồn các phương tiện cố định xương gãy dưới sự hỗ trợ của máy C-arm và bàn nắn chỉnh hình. Ứng dụng phương pháp này giúp người bệnh ít đau hơn, hạn chế tổn thương mô mềm, người bệnh sớm phục hồi, vết mổ nhỏ gần như không để lại sẹo.
Người bệnh T.K.M sinh năm 2016, trú tại xã Bum Tở, tỉnh Lai Châu không may bị ngã khi đi xe đạp, đã khám tại cơ sở y tế địa phương được chẩn đoán gãy tay phải. Tin tưởng vào bác sĩ giàu kinh nghiệm của Bệnh viện Đa khoa tỉnh Phú Thọ, sau khi sơ cứu, gia đình đã đưa người bệnh vượt hơn 400km về Phú Thọ để điều trị.

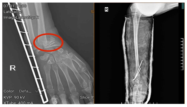
Hình ảnh phim chụp của người bệnh trước và sau khi phẫu thuật (vùng tổn thương trước phẫu thuật được khoanh đỏ).
Người bệnh vào viện trong tình trạng tay phải được cố định bằng nẹp, cẳng tay, cổ tay phải đau nhiều, sưng nề… Tại Khoa Ngoại Chấn thương và Y học Thể thao, Trung tâm Chấn thương chỉnh hình, Bệnh viện Đa khoa tỉnh Phú Thọ, người bệnh được bác sĩ khám, chỉ định thực hiện các cận lâm sàng và được chẩn đoán gãy xương cẳng tay phải.
Tuy nhiên, do thời gian tổn thương kéo dài, người bệnh bị chấn thương trước khi vào viện 3 ngày, kèm theo việc gia đình cho người bệnh bó thuốc nam nên vùng xương và cơ bị tổn thương, có hiện tượng co cứng, đặc biệt, vùng xương gãy gần với sụn, nếu không can thiệp kịp thời sẽ ảnh hưởng đến khả năng vận động sau này. Người bệnh được chỉ định phẫu thuật kết hợp xương bằng kỹ thuật C-arm với đội ngũ bác sĩ tay nghề cao, giúp nâng cao khả năng phục hồi tối đa.

Bác sĩ Vũ Hoàng Đại Hải thăm khám, hướng dẫn người bệnh tập vận động sau phẫu thuật
Qua quá trình theo dõi, thăm khám cho người bệnh sau phẫu thuật, BS Vũ Hoàng Đại Hải – Khoa Ngoại Chấn thương và Y học Thể thao, Trung tâm Chấn thương chỉnh hình cho biết: Tình trạng sức khỏe người bệnh ổn định, cử động ban đầu tốt, người bệnh được xuất viện tiếp tục tập phục hồi vận động tại nhà.

Nhờ ứng dụng kỹ thuật C-arm trong phẫu thuật, vết mổ của người bệnh rất nhỏ, gần như không để lại sẹo, mang lại hiệu quả thẩm mỹ cao.

Người bệnh T.K.M và gia đình phấn khởi khi chuẩn bị xuất viện.
Có thể thấy, việc ứng dụng C-arm trong phẫu thuật kết hợp xương đóng vai trò rất quan trọng trong việc tăng độ chính xác, giảm xâm lấn, và rút ngắn thời gian phẫu thuật, đặc biệt trong các phẫu thuật chấn thương chỉnh hình.
Người bệnh được chỉ định thực hiện kỹ thuật C-arm khi nào?
Một số trường hợp được chỉ định ứng dụng kỹ thuật C-arm trong phẫu thuật như:
- Gãy xương chi dài: Xương đùi, xương cẳng chân, xương cánh tay…
- Gãy xương ổ cối, xương chậu
- Gãy xương cột sống
- Phẫu thuật ít xâm lấn
Với đội ngũ bác sĩ trình độ cao, chuyên môn sâu, giàu kinh nghiệm, cùng sự hỗ trợ của hệ thống thiết bị y tế hiện đại, Khoa Ngoại Chấn thương và Y học thể thao – Trung tâm Chấn thương chỉnh hình, Bệnh viện Đa khoa tỉnh Phú Thọ đã ứng dụng công nghệ hình ảnh trong phẫu thuật điều trị cho nhiều người bệnh bị gãy xương và nhiều kỹ thuật cao, chuyên sâu khác như: Phẫu thuật thay khớp, phẫu thuật nội soi, phẫu thuật kết xương, phẫu thuật chỉnh hình các dị tật, các phẫu thuật cắt ghép xương,… giúp người bệnh phục hồi chức năng vận động trở lại với cuộc sống sinh hoạt bình thường.
Người dân khi gặp các vấn đề về chấn thương, đặc biệt là gãy xương vui lòng liên hệ để được các bác sĩ khám, tư vấn điều trị kịp thời:
Khoa Ngoại Chấn thương và Y học thể thao: 0210.6254.135
Hoặc liên hệ Tổng đài tư vấn khám chữa bệnh (miễn phí cước cuộc gọi – 24/7): 1800 888 989 để được tư vấn trực tiếp bởi các Chuyên Gia đầu ngành Bệnh viện Đa khoa tỉnh Phú Thọ.
Tác giả: BS Vũ Hoàng Đại Hải
Cộng sự: Mai Hoa