Các kỹ thuật chuyên sâu

Quyết định về việc cấp chứng chỉ đào tạo kỹ thuật chuyên môn khám bệnh, chữa bệnh cho học viên đợt 1 tháng 4/2026
Quyết định về việc cấp chứng chỉ đào tạo kỹ thuật chuyên môn khám bệnh, chữa bệnh cho học viên đợt 1 tháng 4/2026 Xem

Quyết định về việc cấp chứng chỉ đào tạo kỹ thuật chuyên môn khám bệnh, chữa bệnh cho học viên đợt 1 tháng 3/2026
Quyết định về việc cấp chứng chỉ đào tạo kỹ thuật chuyên môn khám bệnh, chữa bệnh cho học viên đợt 1 tháng 3/2026 Xem
9 nhóm giải pháp thực hiện Nghị quyết số 72-NQ/TW của Bộ Chính trị
Ngày 16/9/2025, tại Hà Nội, Bộ Chính trị, Ban Bí thư tổ chức Hội nghị toàn quốc quán triệt, triển khai thực hiện 4 Nghị quyết của Bộ Chính trị về hội nhập quốc tế, an ninh năng lượng quốc gia, đột phát phát triển giáo dục và đào tạo và bảo vệ, chăm sóc, nâng cao sức khỏe nhân dân. Phát biểu và chỉ đạo tại Hội nghị, Tổng Bí thư Tô Lâm khẳng định: Đối với Nghị quyết 72-NQ/TW: Dự phòng là then chốt-Cơ sở là nền tảng-Nhân dân là trung tâm. Mục tiêu là tăng tuổi thọ khỏe mạnh, giảm chi trả cho người bệnh, số hóa hệ thống, củng cố y tế cơ sở, nâng cao chất lượng dịch vụ và sự hài lòng của người bệnh, người dân. Tổng Bí thư cũng nêu 9 nhóm giải pháp thực hiện Nghị quyết số 72-NQ/TW./.

Hưởng ứng ngày Sức khỏe toàn dân 7/4/2026: Chủ động phòng bệnh – Vì một Việt Nam khỏe mạnh
Ngày Sức khỏe toàn dân 7/4 nhằm cụ thể hóa chủ trương chuyển mạnh từ tư duy tập trung khám bệnh, chữa bệnh sang chủ động phòng bệnh; chú trọng bảo vệ, chăm sóc và nâng cao sức khỏe Nhân dân.”

Dấu ấn tự hào của các vận động viên Bệnh viện Đa khoa tỉnh Phú Thọ tại giải Pickleball Bộ Y tế lần thứ nhất năm 2026
Trong không khí sôi nổi hưởng ứng Ngày Sức khỏe Toàn dân (07/4) và Ngày Sức khỏe Thế giới năm 2026, Giải Pickleball Bộ Y tế lần thứ nhất năm 2026 đã diễn ra với nhiều dấu ấn nổi bật, để lại ấn tượng sâu sắc không chỉ bởi chất lượng chuyên môn mà còn bởi tinh thần thi đấu sôi nổi, đoàn kết của các đơn vị tham gia. Trong đó, đoàn vận động viên ngành Y tế tỉnh Phú Thọ nói chung và Bệnh viện Đa khoa tỉnh Phú Thọ nói riêng đã ghi dấu ấn mạnh mẽ với nhiều thành tích xuất sắc.

Chương trình tọa đàm hưởng ứng Ngày Sức khỏe toàn dân 07/4 tại Bệnh viện Đa khoa tỉnh Phú Thọ
Hưởng ứng Ngày Sức khỏe toàn dân 07/4, Bệnh viện Đa khoa tỉnh Phú Thọ đã tổ chức chương trình tọa đàm với chủ đề: “Chủ động khám sức khỏe định kỳ, chủ động phòng bệnh – Vì một Việt Nam khỏe mạnh”. Chương trình nhằm lan tỏa thông điệp chăm sóc sức khỏe toàn diện, nâng cao nhận thức của người dân về vai trò của việc chủ động phòng bệnh và kiểm tra sức khỏe định kỳ.

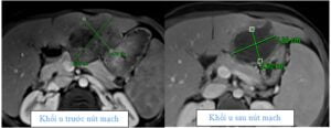
Nụ cười của người bệnh 96 tuổi và những hy vọng trong điều trị ung thư
Nhiều người khi mới được chẩn đoán ung thư thường mang tâm lý bi quan như: “tuổi cao không điều trị được”, “hóa trị sẽ làm kiệt sức”, hay “ung thư là hết hy vọng”… Những suy nghĩ này có thể khiến người bệnh trì hoãn hoặc từ bỏ cơ hội điều trị ung thư. Tuy nhiên, với sự tiến bộ của y học hiện đại, quan niệm trên đã có thay đổi rất nhiều.

Bệnh viện Đa khoa tỉnh Phú Thọ tổ chức xét duyệt đề cương nghiên cứu khoa học cấp cơ sở năm 2026
Trong tuần vừa qua, Bệnh viện Đa khoa tỉnh Phú Thọ đã tổ chức chương trình xét duyệt đề cương nghiên cứu khoa học cấp cơ sở theo kế hoạch thực hiện nhiệm vụ khoa học và công nghệ (KH&CN) cấp cơ sở năm 2026. Đây là hoạt động thường niên có ý nghĩa quan trọng, góp phần nâng cao chất lượng nghiên cứu khoa học, thúc đẩy đổi mới sáng tạo và ứng dụng hiệu quả các tiến bộ khoa học vào công tác khám chữa bệnh tại Bệnh viện.









