Ở người cao tuổi, các triệu chứng đau bụng, mệt mỏi thường dễ bị bỏ qua hoặc nhầm lẫn với biểu hiện của tuổi già và bệnh lý mạn tính. Tuy nhiên, trên thực tế, đây có thể là dấu hiệu cảnh báo những bệnh lý tiềm ẩn cần được phát hiện và xử trí kịp thời.
Người bệnh P.T.N, 87 tuổi, có tiền sử bệnh phổi tắc nghẽn mạn tính (COPD), từng điều trị xuất huyết tiêu hóa do loét dạ dày. Thời gian gần đây, người bệnh xuất hiện các triệu chứng đau bụng âm ỉ vùng thượng vị, kèm theo ợ hơi, ợ chua, cảm giác mệt mỏi, hoa mắt, chóng mặt kéo dài, đại tiện phân đen. Gia đình đã đưa người bệnh đến Bệnh viện Đa khoa tỉnh Phú Thọ kiểm tra.

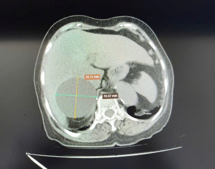
Hình ảnh phim chụp CT ổ bụng người bệnh cho thấy nang gan kích thước lớn
Sau khi được các bác sĩ thăm khám lâm sàng, thực hiện các xét nghiệm chuyên sâu và chụp CT ổ bụng, người bệnh được chẩn đoán: theo dõi xuất huyết tiêu hóa nghi do loét dạ dày hành tá tràng – nang gan – nhân tuyến giáp – trào ngược dạ dày thực quản trên nền tăng huyết áp.
Đáng chú ý, hình ảnh chụp CT ổ bụng ghi nhận nang gan kích thước lớn khoảng 70,11 mm x 70,7 mm gây đau tức vùng thượng vị, chèn ép các cơ quan lân cận, ảnh hưởng đến sức khỏe và chất lượng cuộc sống của người bệnh.

Ekip thực hiện chọc hút nang gan cho người bệnh
Sau khi đánh giá toàn diện tình trạng lâm sàng, cận lâm sàng, các bác sĩ đã thống nhất chỉ định chọc hút nang gan nhằm giảm áp lực của nang, cải thiện triệu chứng và hạn chế nguy cơ biến chứng. Ca can thiệp được thực hiện bởi các bác sĩ Khoa Nội Hô hấp – Tiêu hóa dưới hướng dẫn của siêu âm và theo dõi chặt chẽ các chỉ số sinh tồn, đảm bảo an toàn cho người bệnh.

Dịch nang gan của người bệnh được hút ra sau quá trình chọc hút nang gan
Trong quá trình điều trị, sức khỏe người bệnh tiến triển thuận lợi. Các triệu chứng đau tức thượng vị giảm rõ rệt, người bệnh tỉnh táo, các chỉ số sinh tồn ổn định và tiếp tục được theo dõi, chăm sóc tại Khoa theo đúng phác đồ điều trị. Sau 05 ngày điều trị, người bệnh ổn định và được ra viện.
BSNT Trần Văn Sơn – Khoa Nội hô hấp – Tiêu hóa cho biết: Nang gan là bệnh lý tương đối phổ biến, chiếm khoảng 2,5 – 5% dân số và đa phần không có triệu chứng. Tuy nhiên, với những nang gan kích thước lớn (trên 05 cm), người bệnh có thể xuất hiện đau tức vùng bụng trên, đầy chướng, mệt mỏi do nang chèn ép các tạng lân cận, biến chứng xuất huyết trong nang. Đối với người bệnh cao tuổi, có tiền sử xuất huyết tiêu hóa và bệnh phổi tắc nghẽn mạn tính như trường hợp này, việc chỉ định chọc hút nang gan mang lại hiệu quả rõ rệt, vừa cải thiện triệu chứng, vừa đảm bảo an toàn trong quá trình điều trị.
Qua trường hợp này, bác sĩ khuyến cáo, người cao tuổi, đặc biệt là những người có tiền sử bệnh lý mạn tính, khi xuất hiện các dấu hiệu như đau bụng kéo dài, mệt mỏi, hoa mắt, chóng mặt, ợ chua, ợ hơi… không nên chủ quan. Việc đến cơ sở y tế có chuyên môn để thăm khám sớm sẽ giúp phát hiện kịp thời các bệnh lý tiềm ẩn, từ đó có hướng điều trị phù hợp, góp phần nâng cao hiệu quả điều trị và chất lượng cuộc sống cho người bệnh.
Người bệnh gặp các vấn đề sức khỏe, đặc biệt là các bệnh lý về hô hấp, tiêu hóa vui lòng liên hệ:
Khoa Nội Hô hấp – Tiêu hóa: 0210.6254.070
Hoặc Tổng đài tư vấn khám chữa bệnh (miễn phí cước cuộc gọi): 1800.888.989. Được tư vấn trực tiếp bởi các Chuyên gia đầu ngành Bệnh viện Đa khoa tỉnh Phú Thọ
Tác giả: BSNT Trần Văn Sơn
Cộng sự: Trương Tĩnh